Our Fontana dental practice We believe that exceptional dental care is more than just the treatment of teeth, it's about improving your living quality. Our method combines the latest dental technologies, skilled providers with individualized treatment plans that deliver outcomes you can count on.
Learn More
Dental Care
Dental Treatment
Dentures
Teeth Alignment
Dental care is provided all under one roof. We serve both families and individuals throughout Fontana and its surrounding communities.
Our team of dentists brings together expertise, skilled clinical techniques and a desire for your comfort. Every dentist is committed to offering high-quality treatment by using the most modern methods and treatments that are tailored to meet the individual requirements of each patient.
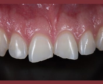
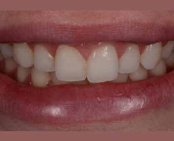
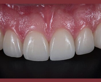
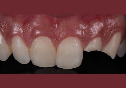
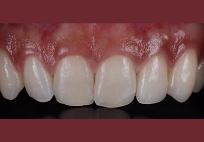
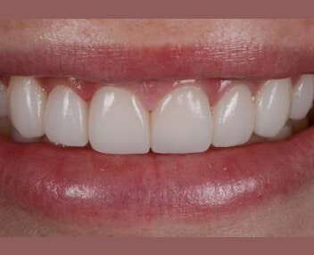
Every smile in our gallery tells a real story. These results are from real patients who entrusted our team to provide dental implants, dentures that are implant-supported, cosmetic dentistry, as well as restorative treatment at our Fontana clinic
Patients throughout Fontana and surrounding areas choose our dental office for our friendly team, modern approach, and dependable treatment outcomes. Whether visiting for routine care, cosmetic dentistry, or implant-supported dentures, our patients appreciate our attention to detail and patient-first philosophy.

Very beautiful officeđź’• the office Manager Claudia greeted me with a beautiful smile and she gave me a response to all my questions, back office staff is very caring, and the Doctor was just amazing! I highly recommend this office đź’•
Ana Teissier
Dr Celina is kind, gentle, warm, and welcoming. It is evident that she values patient care with the way she explains and communicates what she is seeing based on what I shared or what she observes during her examination. Going to the dentist is scary, but Dr Celina makes the experience comfortable and less scary. I cannot thank her enough!
Alice Pyo
Dr. Celina is very professional and knowledgeable. Would not go anywhere else. A good dentist is hard to find…
Jae Wook
Very Nice staff.. Claudia is excellent when presenting the treatment. Back office very Nice. Gabby always polite and friendly aswell as everyone in the office.
Cynthia Mayorquin
There are not enough words to describe my husband & my experiences with this wonderful group of skilled professionals. My sweetheart will cowboy through whatever pain or difficulty. We appreciated their dedication to ensuring a good fit for his new appliances. For myself, let’s just say I’m the oldest baby you’ve ever seen. Terrified of the thought of going to the dentist… until we discovered this jewel of Dentistry. Pain was minimal and the care was kind & thoughtful. Even the paperwork was handled simply & professionally. In my 70+ years I have never had such a good dental experience. I made them promise to always be my dentist, seriously…
Venus Pierce
Hands down best dental experience ever. Walking in, the receptionists were very kind and I was greeted with such welcome. The atmosphere is very cozy and familial, bringing comfort before a nerve wrecking dental appointment. Dr. Celina was incredible at her job, being very thorough with procedures. She has such gentle hands, I was genuinely scared I was going to fall asleep as she worked on my teeth. Hope to stick to this dentist a lifetime!
Eunji Lee
Overall great experience. Dentist & staff are very professional and provide excellent dental care.
Magdalena Urzua